|
平成17年度「予防と健康管理」ブロック 講義末 科目試験 MCQ 問題集 (大槻範囲)
注意:「2つ選べ」 の記載のないものは「1つ選べ」である。混在しているので,問題文を良く読むこと。また,別紙に写真集あり。問題文中の写真番号と,別紙写真集の写真番号を照合するように。
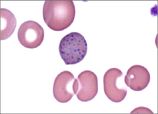
1~3 工場の従業員の末梢血で写真1の所見を得た。以下の問1~3に答えなさい。
写真1
1 この赤血球所見が出現するに当たって,障害を受けている酵素はどれか。
a pyrimidine-5'-nucleotidase
b glutathione S-transferase
c N-acyltransferase
d adenosine deaminase
e reverse transcriptase
2 以下のうち,本例の疾病に合致する所見はどれか。2つ選べ。
a 尿中δアミノレブリン酸増加
b 大球性高色素性貧血
c Fanconi症候群
d 求心性視野狭窄
e 腹部仙痛
3 本原因物質について正しいのはどれか。
a 四アルキル化合物も同じ症状を呈する。
b 中毒の小児例は過去に認められていない。
c 女性の取扱作業は禁止されている。
d メタルチオネインと結合しやすい。
e IARCグループ1である。
4 日本人の食事摂取基準(平成17年度から平成21年度まで)について正しいものはどれか。
a 身体活動レベルは4区分
b 年齢は5区分
c 脂質は総脂肪の規定のみ
d カリウムの基準は高血圧予防目的
e n-3系脂肪酸の代表はリノール酸
5 以下の組合せで正しいものを選べ。
a 特定保健用食品 ・・・・・・・・・・・・・・・・・・・・・・・・・・・・・・・・・・・・・ 非アレルギー原料のみを使用
b 遺伝子組み換え食品 ・・・・・・・・・・・・・・・・・・・・・・・・・・・・・・・・・ 表示は法的義務
c 妊婦や妊娠の可能性のある人への魚介類等摂食制限・・・・ 含有ダイオキシンを懸念
d イタイイタイ病 ・・・・・・・・・・・・・・・・・・・・・・・・・・・・・・・・・・・・・・・・ 水銀含有米摂食による骨粗鬆症
e アレルギー物質表示義務 ・・・・・・・・・・・・・・・・・・・・・・・・・・・・・ 小麦・そば・卵・乳・エビの5種類
6 以下の組合せで正しいのはどれか。2つ選べ。
a HACCP ・・・ Handicapped Person
b ADI ・・・ Aya-M Daisuki Ichiban
c IARC ・・・ International Association of Radiological Championship
d VOC ・・・ volatile organic compounds
e NOAEL ・・・ no observed adverse effect level
7~8 背部の皮膚所見(写真2),また,右前腕皮膚生検所見(写真3)を見て,以下の問4,5に答えなさい。
写真2 写真3 
7 原因物質として正しものはどれか。
a マンガン b セレン c 砒素 d ヒ化水素(アルシンガス) e カドミウム
8 本物質の健康影響の事例として正しいものを2つ選べ。
a カネミ油症
b 森永ミルク事件
c 富山県神通川流域
d 宮崎県土呂久地区
e 倉敷市水島地区
9 写真4は水俣病の障害部位(①~③)である。以下の組合せで正しいのはどれか。

a ①:末梢性知覚障害
b ①:突進性歩行
c ②:運動失調
d ②:多発性神経炎
e ③:めまい
10 シックハウス症候群・化学物質過敏症の客観的診断に用いられる検査項目として正しいものを2つ選べ。
a AhR 受容体結合能
b Th1/Th2 細胞比の測定
c 滑動性眼球追従運動
d 身体重心図
e アルサス反応
11~13 じん肺症例の胸部エックス線(写真5)を見て以下の問いに答えなさい。
写真5 
11 本例に認められる組織変化(写真6~10)の中から選べ。
a 写真6 
b 写真7
c 写真8 
d 写真9 
e 写真10 
12 本例の症候について正しいのはどれか。2つ選べ。
a 捻髪音の聴取は特徴的
b 悪性中皮腫の併発
c 水泡形成型接触性皮膚炎の併発
d エックス線での egg shell calcification
e 末期は肺性心
13 本例の健康診断や管理区分ついて正しいのはどれか。2つ選べ。
a 著しい肺機能障害がなければ管理「3ロ」
b 健康管理手帳の交付
c エックス線読影はILO国際標準フィルムに挟んで施行
d 呼吸困難度はHugh-Jonesの分類
e 健康診断有所見率は現在ほぼ2%以下
14 廃棄物対策について正しいものはどれか。
a 国民1人1日あたりのごみ排出量は1kg以下
b 一般ごみの資源化率は,平成15年度からは40%以上
c 感染性廃棄物とは,畜産業からの動物の糞尿や死体
d 産業廃棄物のマニフェストシステムとは,排出事業者による伝票(管理票)管理
e 家庭用コンピューターも家電リサイクル法の対象
15 農薬中毒について正しい組合せを2つ選べ。
a 有機塩素系 ・・・ 肺線維症
b 有機リン系 ・・・ AChE活性阻害
c 有機リン系 ・・・ 酸素吸入禁忌
d カーバメート系 ・・・ 内分泌攪乱作用
e パラコート ・・・ 活性酸素種の産生
16 ビタミン欠乏症について正しい組合せはどれか。
a A ・・・ 骨軟化症
b B1 ・・・ 脚気
c B2 ・・・ 二分脊椎
d B12 ・・・ ペラグラ
e D ・・・ 巨赤芽球性貧血
17 食品のリスクコミュニケーションについて正しいのはどれか。
a 専門家による科学的健康評価のことである。
b 消費者は意見交換等で参加する。
c 販売業者等の事業者は経済産業省を介して参加する。
d 食品安全委員会はリスク管理を行う。
e 対象は主に食品添加物である。
18 室内環境,衣服環境について正しいのはどれか。2つ選べ。
a 室内空気汚染の指標 ・・・ CO2怨限度
b 衣服の保温性の単位 ・・・ hPa
c 採光の入射角 ・・・ 28o以上
d 採光の開角 ・・・ 40o以上
e 照明の均斉度 ・・・ 30%以上
19~20 写真11は本年6月初旬の新聞記事である。この記事について,以下の問いに答えよ
写真11 -------------------------------------

------------------------
19 正しいのはどれか。
a 本事例の場合は,公害対策基本法で対応する。
b 文中の「悪臭」は環境基本法では公害としない。
c 「四日市の公害」とは立正高校事件である。
d ppm はparts per millionの略で,100万分の1を表す。
e 文中「府中丹東保健所」は環境省直轄である。
20 文中に「記念館の職員13人や見学者から毎年、慢性的なせきや頭痛、のどの痛みの訴えが相次ぎ、通院した人」が出ていると記載されている。このことについて適切な記載はどれか。
a 頭痛はシックハウス症候群と診断する。
b じん肺の恐れがあるので,じん肺検診を全職員に敢行する。
c 自費診療に切り替え,工場に請求書を廻す。
d 工場からの補償が得られるまで治療は行わない。
e 文中「この二酸化硫黄が原因の可能性が極めて高い」とあるが,個々の症例では喫煙歴等の影響もあり,100%断定できない現状がある。
|